
La detección temprana de tumores cerebrales agresivos representa un desafío para sistemas de salud en todo el mundo.
La búsqueda de alternativas poco invasivas y rápidas para el diagnóstico resulta una prioridad para la ciencia. Un estudio internacional publicado en la revista científica Cell Reports Medicine presenta una estrategia innovadora basada en el análisis de pequeñas partículas liberadas por las células, conocidas como vesículas extracelulares, que circulan en la sangre.
El equipo, liderado por el profesor Georgios Giamas y el doctor Stephen Robinson de la Universidad de Sussex, desarrolló un método que permite identificar y clasificar gliomas utilizando una simple extracción sanguínea, con resultados en pocos días.
La investigación indica que el análisis de pequeñas partículas liberadas por las células y presentes en la sangre, conocidas como vesículas extracelulares, permite encontrar biomarcadores que distinguen a personas con glioblastoma, individuos sanos y pacientes con otros tipos de tumores cerebrales.

El glioblastoma es el tipo más agresivo de tumor cerebral en adultos y suele presentar síntomas como dolor de cabeza persistente, alteraciones en la memoria y convulsiones. Forma parte del grupo de los gliomas, tumores que se originan en las células gliales, encargadas de brindar soporte y protección a las neuronas en el cerebro.
Debido a su rápido crecimiento y dificultad para detectarlo en etapas tempranas, el diagnóstico suele requerir procedimientos invasivos. La prueba sanguínea desarrollada en el estudio busca ofrecer una alternativa más rápida y menos riesgosa para identificar este tumor y monitorear su evolución.
El equipo examinó muestras de sangre de 159 personas utilizando técnicas que identifican tanto las proteínas como fragmentos de material genético (microARN) dentro de estas partículas.
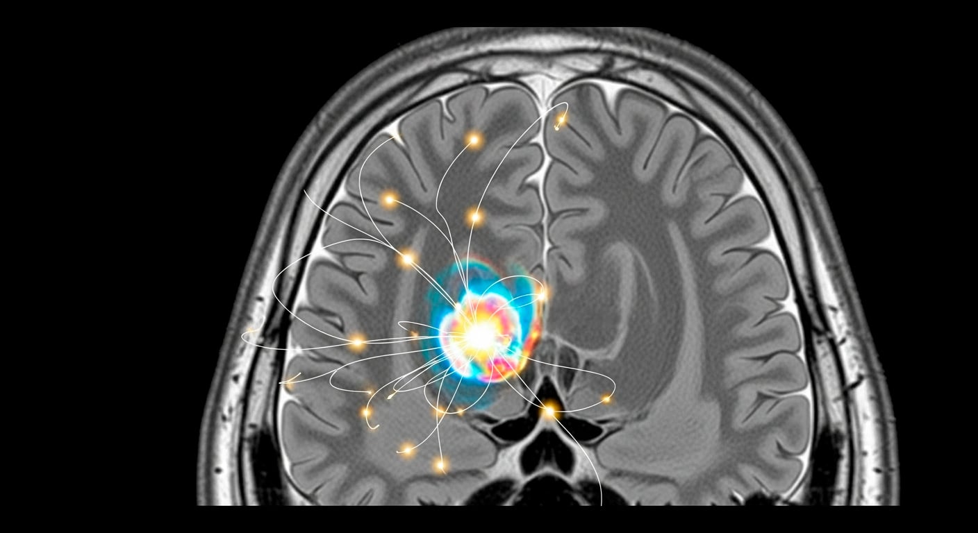
Los resultados muestran que las personas con glioma presentan en su sangre una mayor cantidad de vesículas extracelulares y que estas partículas son de mayor tamaño en comparación con los controles sanos. Además, el contenido interno de estas vesículas es diferente: el equipo detectó cambios claros en la cantidad de 45 proteínas y 20 microARN, lo que da lugar a una especie de “huella química” propia del glioma.

Después de procesar estos datos con algoritmos de inteligencia artificial, los investigadores lograron crear una prueba diagnóstica capaz de reconocer incluso los tumores cerebrales más agresivos con alta precisión.
El estudio informa que el método alcanzó una exactitud del 100% en un grupo de pacientes evaluados a lo largo del tiempo, lo que sugiere que la prueba también podría utilizarse para controlar la evolución de la enfermedad y ajustar el tratamiento. Además, el análisis permitió diferenciar los subtipos principales de glioma y distinguirlos de otros tumores cerebrales, lo que resulta fundamental para elegir la mejor estrategia terapéutica en cada caso.
El artículo científico detalla que el equipo recolectó muestras de plasma de pacientes con glioma, controles sanos y personas con otras patologías cerebrales en biobancos de Reino Unido, Dinamarca y Nueva Zelanda.
Para aislar estas partículas presentes en la sangre, el equipo utilizó un método que las separa según su tamaño, conocido como cromatografía de exclusión por tamaño. Una vez obtenidas, fueron analizadas con técnicas que permiten observar su composición química, como la espectroscopía infrarroja y la espectroscopía Raman. Estas herramientas ayudan a identificar diferencias en las moléculas que contienen, como proteínas y fragmentos de material genético.

Para estudiar las proteínas dentro de estas partículas, los investigadores emplearon tecnologías capaces de medir miles de proteínas al mismo tiempo. También analizaron fragmentos de material genético llamados microARN, que pueden dar información sobre el comportamiento de las células tumorales. El estudio encontró un grupo de biomarcadores que se repetían en las muestras de los distintos grupos de pacientes, lo que da solidez al método.
Luego, los científicos aplicaron programas de inteligencia artificial que ayudan a identificar patrones y seleccionar la información más relevante entre todos los datos obtenidos. El modelo que combinó datos de proteínas y microARN logró una alta precisión para identificar tumores cerebrales en los análisis iniciales, y esta utilidad se confirmó en pruebas adicionales.
Sobre este avance, el doctor Stephen Robinson señaló en el comunicado oficial de la Universidad de Sussex que el desarrollo de esta prueba representa “un paso importante para crear una biopsia líquida efectiva, capaz de brindar información esencial sobre el tumor cerebral de un paciente sin necesidad de procedimientos invasivos”.
La publicación remarca que la técnica, basada en el análisis de vesículas extracelulares circulantes, podría reemplazar biopsias cerebrales de alto riesgo y acortar los tiempos de diagnóstico.

El profesor Georgios Giamas subrayó en el comunicado oficial: “Hemos demostrado que, mediante un análisis de sangre sencillo y económico, podemos identificar una sólida firma de biomarcadores capaz de detectar incluso los tumores cerebrales más agresivos con una precisión notable. Este descubrimiento podría salvar vidas al sustituir la arriesgada cirugía cerebral por una prueba rápida y mínimamente invasiva que ofrece respuestas en días en lugar de semanas, lo que permite comenzar el tratamiento lo antes posible”.
El trabajo incluyó el seguimiento de pacientes a lo largo del tratamiento y tras la cirugía, observando que los perfiles moleculares en las vesículas extracelulares reflejan cambios relacionados con la respuesta a la terapia y la eventual reaparición de la enfermedad. Esto sugiere que el test podría utilizarse también para monitorizar la evolución del tumor y ajustar estrategias terapéuticas de manera más dinámica.
Los siguientes pasos incluyen la estandarización de los protocolos analíticos en los hospitales y la realización de estudios de mayor escala, con el objetivo de incorporar esta herramienta diagnóstica en la práctica clínica habitual y mejorar los resultados de los pacientes con tumores cerebrales.
Salvador Camarena explica los movimientos de Claudia Sheinbaum dentro del Gabinete, a fin de tener un mayor control.
El Financiero
Entre contradicciones, una denuncia tardía y la fuga de su suegra, esto es lo que se sabe del feminicidio de Carolina Flores Gómez en Polanco
Infobae
FTMining ha lanzado recientemente una nueva aplicación móvil, lo que sin duda representa una buena noticia para los usuarios de minería en la nube.
Lado.mx
Este cambio está ayudando a que BM Blockchain destaque como una plataforma construida en torno a la accesibilidad y la conveniencia. Los nuevos usuarios que se registren pueden recibir un bono de bienvenida de US$118, lo que les brinda una razón adicional para explorar la participación cripto mediante un modelo diseñado para reducir gran parte
Lado.mx
La compañía presenta una nueva solución diseñada para mejorar la ergonomía en entornos de trabajo flexibles, integrando funcionalidad, diseño compacto y conectividad en un solo dispositivo. Colebrook Bosson Saunders ha anunciado el lanzamiento de LANA, un soporte ergonómico para laptops concebido para responder a las nuevas dinámicas del tr
Lado.mx
Brozoxmiswebs
Salvador Camarena explica los movimientos de Claudia Sheinbaum dentro del Gabinete, a fin de tener un mayor control.
El Financiero
Desde Palacio Nacional se siguen acomodando las piezasLa entrada La frustración de Luisa María Alcalde; a la muy buena abogada, el trabajo partidista no le sale (Opinión) se publicó primero en Amexi.
Amexi
FTMining ha lanzado recientemente una nueva aplicación móvil, lo que sin duda representa una buena noticia para los usuarios de minería en la nube.
Lado.mx
Quito, 23 abr (Prensa Latina) Más de un mes después del fallo de la Corte Constitucional de Ecuador que declaró la desaparición forzada de cuatro niños en el caso Malvinas, varias de las medidas de reparación ordenadas al Estado siguen hoy sin cumplirse.The post Ecuador mantiene pendientes medidas de reparación por caso Malvinas first appear
Prensa Latina
La Sonora Dinamita llega a La Maraka este 23 de abril. Te damos el setlist, horario y telonero de su concierto
SDP Noticias
El bueno de Peter Parker volverá este verano a los cines con Spider-Man: Brand New Day, una película que, por distintos motivos, ya empieza a sonar a cierre de ciclo para muchos fans. No son pocos los que perciben este nuevo capítulo como la posible despedida de Tom Holland del pers
3d Juegos
Checa los detalles sobre la película de Michael Jackson con Jaafar Jackson, cuál es el soundtrack y todo para que te vayas preparando.The post ¿Vale la pena ver la película de Michael Jackson? todo sobre la biopic con Jaafar Jackson appeared first on Chilango.
Chilango.com
La película ‘Michael’, sobre Michael Jackson, debuta con baja calificación en Rotten Tomatoes y críticas que la señalan como superficial.
El Imparcial
En el último día de pausa antes de reanudar la temporada regular tras el Juego de Estrellas, la atención en las Grandes Ligas se divide entre decisiones judiciales, el regreso de jugadores, y la intensa actividad en el mercado de cambios.Este jueves marca el momento en que el lanzador mexicano Julio Urías es elegible para ser reinstalado por la
Vanguardia.com.mx
Ariel VelázquezToronto vibra con cada lanzamiento, cada batazo y cada atrapada. Su equipo de beisbol regresó al escenario más importante de Grandes Ligas después de más de tres décadas. Los Blue Jays están a un paso de su tercer título de Serie Mundial y la ciudad entera siente la emoción acumulada de décadas. La última vez que levantaro
Excelsior
Ildemaro Vargas hit two homers and drove in a career-high five runs and the Arizona Diamondbacks withstood Munetaka Murakami, who homered in a fifth s
Deadspin
Últimas noticias
Ve "difícil" contener a los infiltrados que pretendan ver a Cerro Porteño
‘La nacionalidad mexicana no puede disociarse de la historia y cultura españolas’: Celorio al recibir el Cervantes
Petrofactureros: así funciona la red de 40 empresas que contrabandeaba combustible en México
Teotihuacán encendió las alertas para el Mundial: Alessandra Rojo de la Vega
Bosch mantendrá su inversión en México pese a la incertidumbre por el T-MEC
Brontis Jodorowsky salda cuentas con México en “El Gorila”
Llevar a los bebés a las fiestas de música electrónica ya es posible
El gran negocio del miedo
Noticias por todas partes
A la Sombra / Luisa María Alcalde
Opinión de Celia Maya García / La tolerancia y las lenguas indígenas
El observador / ¿Habla en serio Canadá? México debe aprender
Pedagogía de la Ineptitud
Opinión de Fernando Redondo Benito / Guanajuato, Capital Cervantina de América, no puede conformarse con administrar su prestigio
Arte cotidiano que sana