
En zonas áridas y semiáridas de América, los seres humanos y los perros, entre otros animales, pueden inhalar un patógeno letal, conocido como “hongo del polvo”, que vive en el suelo y desarrollar la enfermedad de la coccidioidomicosis.
También esa enfermedad se conoce como fiebre del Valle o fiebre del desierto. Se transmite cuando una persona o un animal inhala esporas microscópicas que el viento o la remoción de la tierra liberan en el aire.
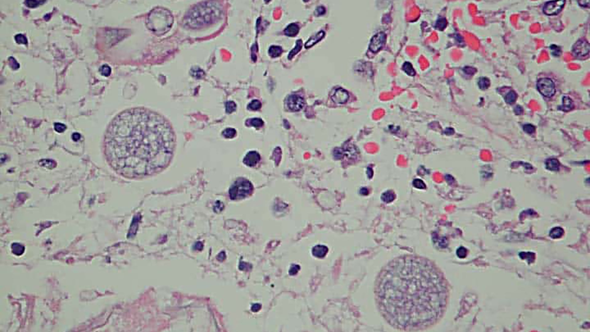
En Argentina, un grupo de investigadoras del Laboratorio Nacional de Referencia en Micología Clínica, que depende del Instituto Nacional de Enfermedades Infecciosas de ANLIS/Malbrán lideraron un estudio que evaluó el uso de un test rápido que sirve para detectar la infección por el hongo. Fue publicado en la revista Medical Mycology.

Esa prueba permite obtener resultados en menos de una hora. Podría usarse en veterinarias, y facilitar el diagnóstico temprano en lugares alejados de los grandes laboratorios.
“Hicimos el estudio para comparar al test rápido con otras pruebas que se utilizan habitualmente y encontramos que tiene concordancia. Es decir, puede detectar los casos de coccidioidomicosis como las pruebas convencionales”, contó a Infobae la doctora Mariana Viale, científica y primera autora del estudio.
Además, agregó: “Nos interesa generar más concientización sobre la existencia de esta enfermedad que es propia de América, que puede causar síntomas que son muy parecidos a los de otras infecciones y hoy es subdiagnosticada”.

Los resultados del trabajo podrían ayudar a detectar la enfermedad más temprano y a mejorar la respuesta veterinaria y sanitaria.
En la investigación también colaboraron Diego Cáceres, Flavia Vivot, María Cecilia López-Joffre, Jorge Iglesias Casal, Adriana Toranzo y Cristina Elena Canteros.
También participaron Patricia Evangelina Mansilla y Paola Soldá, del Hospital Interzonal San Juan Bautista en Catamarca.

La coccidioidomicosis es una enfermedad endémica de América y, en Argentina, se concentra en el noroeste, principalmente en la provincia de Catamarca. Más de la mitad de los casos humanos reportados en el país provienen de esta provincia.
En 1892, el médico Alejandro Posadas reportó el primer informe sobre la infección “coccidioidomicosis” en persona desde la Argentina.
El año pasado, un grupo de investigadores del Centro de Toxicología de la Universidad de Saskatchewan, Canadá; y el Departamento de Biología Integrativa y el Centro de Toxicología Integrativa de la Universidad del Estado de Michigan, Estados Unidos, entre otras instituciones, encontró una relación significativa entre el cambio climático y el aumento de casos de personas afectadas por el hongo en América del Norte. Lo publicaron en la revista Environment International.

El hongo libera esporas invisibles cuando se remueve el suelo, lo que facilita el contagio respiratorio. Personas y animales pueden infectarse solo por respirar polvo contaminado en zonas de riesgo. El primer caso en perros en la Argentina se detectó en 1997. Desde entonces, esos animales han servido para identificar áreas activas de transmisión.
“Hoy los perros son considerados centinelas de la infección. Si se detecta el hongo en ellos, se puede anticipar el riesgo para las personas cercanas”, aclaró Viale.
En los humanos, la infección suele empezar en los pulmones y puede extenderse a otros órganos. Los síntomas incluyen fiebre, tos, dolor en el pecho y debilidad. En los perros, los signos más comunes son dolor en las patas, cojera y pérdida de peso.
“Vale aclarar que los perros no contagian la enfermedad ni entre ellos ni a los humanos. Tanto los animales como los humanos pueden adquirir la enfermedad directamente desde el suelo”, aclaró la científica Cristina Canteros.

Entre 2015 y 2024, el grupo de investigadores analizó 1.734 muestras de suero de perros de Catamarca mediante inmunodifusión, una técnica para detectar anticuerpos.
Encontraron 506 casos positivos, con una tasa de positividad del 29%, que se mantuvo estable en los últimos años.
El aumento de diagnósticos se debió a una vigilancia más estricta y a una mejor provisión de insumos para los laboratorios de la red nacional de micología.
De 2019 a 2021, se hizo vigilancia activa con información clínica y epidemiológica detallada de 72 perros seropositivos.

Más del 60% de los perros que tenían la enfermedad vivían en ambientes domésticos, lo que sugiere que el contagio ocurre en el propio hogar o barrio.
Para comparar los métodos diagnósticos, los investigadores analizaron 225 muestras con inmunodifusión, contra-inmunoelectroforesis y el test rápido, que se conoce como LFA.
Las tres técnicas mostraron alta concordancia, pero el LFA entregó resultados en 45 minutos, frente a las 24 horas o más de los otros métodos.
El test LFA no requiere enviar muestras a laboratorios grandes, lo que facilita su uso en áreas alejadas.

“La concordancia del LFA con los métodos tradicionales fue muy alta, lo que refuerza su valor como herramienta de tamizaje en veterinaria”, señaló la investigadora.
En el estudio recomendaron usar el test rápido como prueba inicial y confirmar con otros métodos si el resultado es dudoso.
También señalaron que hoy la colaboración entre veterinarios y médicos, junto con la capacitación y el acceso a herramientas rápidas, podría mejorar la detección y el control de la coccidioidomicosis.

En la Argentina, desde 2022 si un profesional de la salud diagnostica coccidioidomicosis en una persona, tiene la obligación de notificarlo al sistema de salud. Así, se pueden tomar medidas para evitar más casos en la comunidad.
“Como medidas de prevención -aclaró la doctora Canteros a Infobae- las personas deberían evitar levantar polvo en zonas donde vive el hongo, usar barbijo si hay viento fuerte y quedarse en el hogar durante tormentas si tienen las defensas bajas. También ayuda regar las calles de tierra para que no se levante tanto polvo".
El sábado 18 y el domingo 19 de abril de 2026, la Fundación Cartier para el arte contemporáneo inaugurará un espacio de experimentación artística pensado especialmente para las familias. ¡Vamos!
Sortiraparis
El cerebro envejece y se vuelve más vulnerable a los daños. Por ello, reducir o eliminar el alcohol a partir de los sesenta y cinco años puede ayudar a proteger la memoria y retrasar enfermedades neurodegenerativas
Infobae
Conoce el pronóstico del tiempo en Los Ángeles, para hoy viernes 3 de abril para evitar sufrir los cambios en el clima
La Opinión de Los Ángeles
El Servicio de Administración Tributaria (SAT), la principal autoridad tributaria de México, obtuvo facultades para supervisar en tiempo real las operaciones de casinos, tragamonedas, sorteos y apuestas deportivas.
Lado.mx
El interés por las criptomonedas no ha dejado de crecer en los últimos años. Cada vez más personas buscan formas de participar en este mercado, ya sea como una alternativa de inversión o como una forma de diversificar sus ingresos.
Lado.mx
Las cadenas comerciales enfrentan un desafío constante: garantizar que cada sucursal pueda procesar pagos sin interrupciones, sin importar las condiciones. Una caída de internet, una terminal dañada o un pico de demanda inesperado pueden paralizar las ventas en minutos.
Lado.mx
Raro castillo urbano medieval de Île-de-France, el Château-Musée de Nemours reabrirá sus puertas el 11 de abril de 2026 con la exposición «Paisajes de agua», que combina pinturas, grabados y esculturas en torno al tema del agua en el arte.
Sortiraparis
Texto – Redacción. Fotografías – Vertice Films. KRAKEN: EL LIBRO NEGRO DE LAS HORAS, la adaptación cinematográfica del superventas El libro negro de las horas, escrito por la ganadora del Premio Planeta, Eva García Sáenz de Urturi, que se convirtió en el top 2 de libros más vendidos en España en 2022, año de su... Leer más
Barnafotopress.com
Puede que con las vacaciones de Semana Santa, la película de Super Mario o Crimson Desert, no hayáis tenido tiempo para mirar las estrellas, pero estamos viviendo un momento histórico: la misión Artemis II de la NASA, la primera tripulada alrededor de la Luna en medio siglo, ha dad
3d Juegos
La tarde de este jueves 2 de abril de 2026, una tragedia aérea conmocionó al estado de Puebla. Una aeronave ligera se desplomó en el municipio de Huejotzingo, dejando un saldo de cuatro personas sin vida. Poco después del siniestro, comenzó a circular en redes sociales un video que muestra el momento exacto del impacto. … seguir leyendo.
Formato7.com
El programa suma más de 2500 egresados y mantiene colaboración activa con 45 universidades en el país.
Fashion Network
España vive hoy una de las jornadas más intensas de su Semana Santa, en un Jueves Santo marcado por el silencio, la devoción y el luto tradicional, mientras algunas localidades apuestan por alternativas culturales. En pueblos y ciudades de toda España, país con gran tradición católica, decenas de...The post España se sumerge en la tradició
Elineanoticias.com
Salida de fiscal general en EE. UU. abre relevo interino en Departamento de Justicia Notipress.- La destitución de Pam Bondi como fiscal general de Estados Unidos marcó un cambio en la conducción del Departamento de Justicia, luego de que el presidente Donald Trump anunciara su salida y nombrara a Todd Blanche como titular interino. La decisió
MPV
Después de Kristi Noem, Donald Trump ha puesto en el punto de mira a Pam Bondi. El magnate despidió a la fiscal general, cada vez más frustrado con su gestión de los casos más delicados del Departamento de Justicia: principalmente el caso de los archivos de Jeffrey Epstein, pero también las represalias del presidente contra sus enemigos."
El Siglo de Torreón
CHETUMAL, MX.- El catolicismo en Quintana Roo se encuentra preparado ya para conmemorar mañana el tradicional Viernes Santo, con viacrucis vivientes y misas alusivas a este fecha especial para los feligreses de todo el mundo. En Chetumal, se tienen previstos al menos tres viacrucis vivientes organizados por distintas parroquias. Uno de los eventos
Noticaribe
Hoy es el día más intenso y concurrido, donde se vive el juicio y la muerte de Jesús
El Informador
La alcaldía Iztapalapa se convierte nuevamente en el epicentro de la fe en México. En este 2026, la Representación de la Pasión, Muerte y Resurrección de Cristo cobra una relevancia histórica tras su reciente declaratoria por la UNESCO. Se espera la asistencia de más de dos millones de personas en los ocho barrios originarios para [
Gluc.mx
Bernardo FerreiraTras los rumores que ponían a Allan Saint-Maximin vistiendo la playera de Haití para el Mundial 2026, el futbolista francés rompió el silencio y aclaró de manera contundente su futuro con el país del Caribe; “Quisiera felicitar al pueblo haitiano y a la selección nacional por esta histórica clasificación”, mencionó.NO
Excelsior
Bernardo Ferreira / AFPEl Santos de Neymar sigue en zona de descenso del Brasileirão tras empatar este lunes 1-1 en Porto Alegre contra el Internacional, un resultado que deja al Peixe con un punto menos que el Vitória, primer equipo fuera de la zona roja, en la 36ª jornada del torneo.NO TE PIERDAS: ¿Gilberto Mora puede jugar partido de Liguil
Excelsior
Sigue la cuenta regresiva para el cierre de registros en el futbol mexicano y en Tigres las negociaciones para traer al uruguayo Rodrigo Aguirre avanzan, mientras que Nicolás Ibáñez sería dado de baja.Y es que las posibilidades de que el delantero argentino vaya a otro equipo del futbol mexicano no han podido encontrar un final feliz, por lo qu
Milenio
Últimas noticias
Bareiro, el "9" que presiona con rendimientos y no con números
El costo oculto de la IA: centros de datos elevan hasta 16.4 °C la temperatura local
Umberto Eco: “El libro es una pequeña anticipación de inmortalidad hacia atrás”
Carlos Lozano saborea la calma y disfruta de unos días muy familiares con Mónica Hoyos y su hija Luna
Simeone, sobre los cánticos racistas: Es social y mundial, el respeto se perdió hace años
Euro hoy en Colombia: cotización de apertura del 3 de abril
Zelenski invita al Papa a una visita apostólica en Ucrania y condena los bombardeos de Rusia en Semana Santa
El paro en EEUU baja en marzo al 4,3 %, con una creación al alza de 178.000 puestos
Rusia frustra un supuesto plan de la Inteligencia de Ucrania para atentar contra un alto cargo ruso en Moscú
Un futuro incierto para la "Azzurra"
La oposición cubana exigió transparencia tras el anuncio del indulto a más de 2.000 presos políticos y advierte: “No se hagan ilusiones”
El PP registra en Les Corts una propuesta en favor de los "cristianos perseguidos"
La presión del Barcelona, la transición del Atlético
Bielorrusia anula el pasaporte del premio nobel de la paz Bialiatski
El alcalde de París promete más presupuesto y más control para frenar los abusos escolares