
Cuidar la salud de la tiroides es fundamental para el buen funcionamiento del organismo, ya que esta glándula regula procesos esenciales como el metabolismo, el ritmo cardíaco, la temperatura corporal y el equilibrio hormonal. En el Perú, el Ministerio de Salud (Minsa) y el Seguro Social de Salud (EsSalud) advierten que los trastornos tiroideos son frecuentes y que, entre ellos, el cáncer de tiroides ha mostrado un aumento sostenido en los diagnósticos durante los últimos años. Llama la atención que esta enfermedad afecta con mayor frecuencia a las mujeres que a los hombres, una diferencia que ha sido ampliamente estudiada por la comunidad médica.
Según datos difundidos por Minsa y EsSalud, el cáncer de tiroides es uno de los tipos de cáncer endocrino más comunes en el país y se diagnostica hasta tres veces más en mujeres. Aunque en la mayoría de los casos tiene un buen pronóstico si se detecta a tiempo, es importante comprender por qué esta enfermedad se presenta con mayor frecuencia en la población femenina, con el fin de reforzar la prevención y el diagnóstico oportuno.
Una de las principales razones por las que el cáncer de tiroides afecta más a las mujeres está relacionada con los factores hormonales. Las hormonas sexuales femeninas, especialmente los estrógenos, influyen en el funcionamiento de la glándula tiroides. Diversos estudios han demostrado que las células tiroideas tienen receptores para estrógenos, lo que puede favorecer el crecimiento y la proliferación celular anormal en determinadas condiciones.
Además, las mujeres presentan con mayor frecuencia enfermedades tiroideas benignas, como el hipotiroidismo, el hipertiroidismo y los nódulos tiroideos. Si bien la mayoría de estos nódulos no son cancerosos, su presencia aumenta la vigilancia médica y, en algunos casos, el riesgo de detectar cáncer de tiroides. El embarazo, el posparto y la menopausia son etapas en las que se producen importantes cambios hormonales que también pueden influir en la función tiroidea.

Otro factor a considerar es que las mujeres suelen acudir con mayor frecuencia a controles médicos, lo que incrementa la detección de nódulos y lesiones tiroideas en etapas tempranas. Esto no significa necesariamente que desarrollen más cáncer agresivo, sino que se diagnostica con mayor frecuencia en comparación con los hombres.
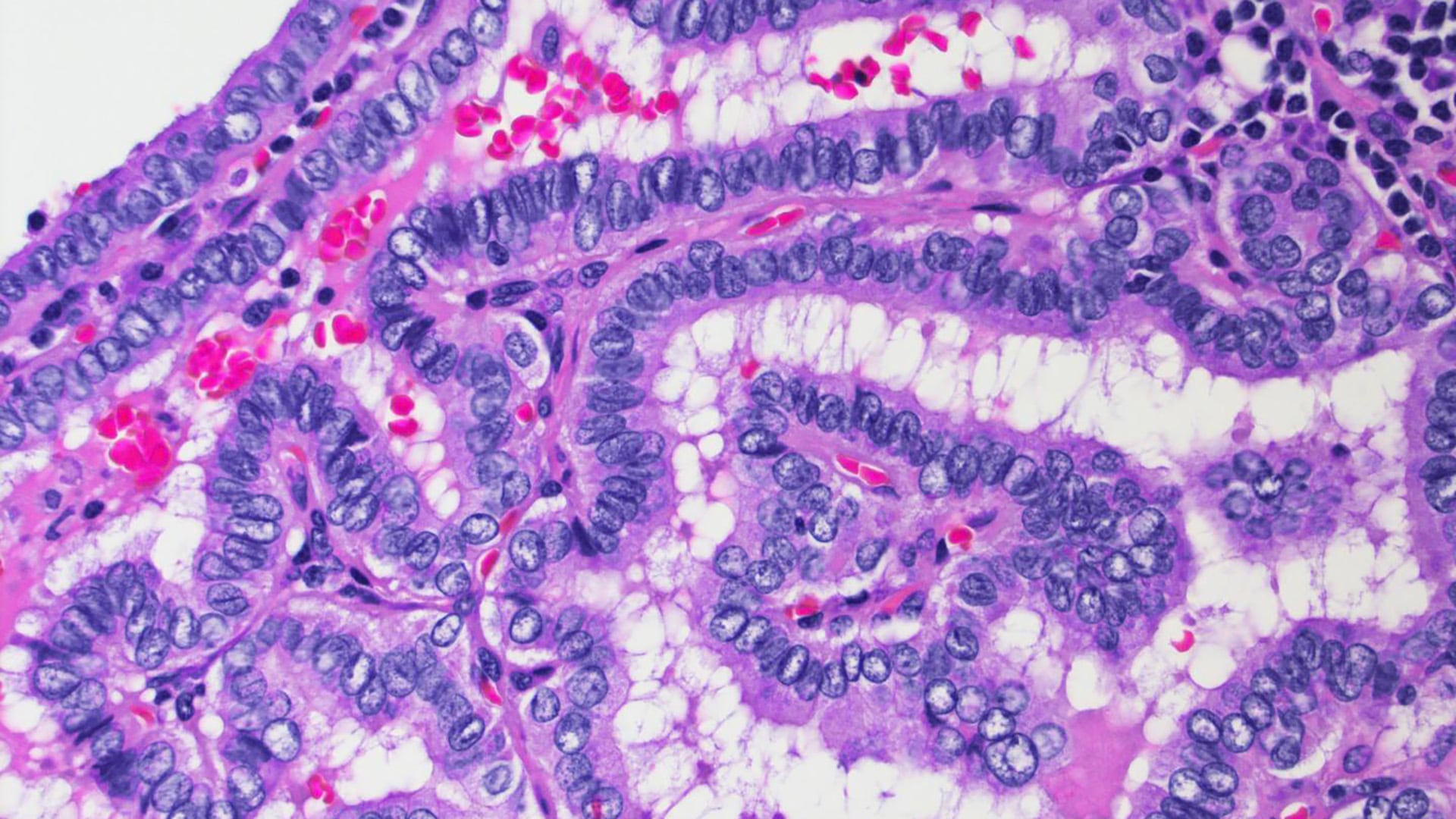
El carcinoma papilar es el tipo más común de cáncer de tiroides y representa aproximadamente entre el 70 al 80 por ciento de los casos diagnosticados, tanto en mujeres como en hombres. Sin embargo, su incidencia es significativamente mayor en la población femenina, especialmente entre los 30 y los 50 años.
Este tipo de cáncer se caracteriza por un crecimiento lento y, en la mayoría de los casos, tiene un pronóstico favorable. Suele originarse en las células foliculares de la tiroides y puede manifestarse como un nódulo indoloro en el cuello. En etapas iniciales, no siempre produce síntomas, lo que resalta la importancia de los controles médicos y las evaluaciones por imágenes cuando existen factores de riesgo.
El carcinoma papilar responde bien al tratamiento, que generalmente incluye cirugía y, en algunos casos, terapia con yodo radiactivo. La tasa de supervivencia es alta, especialmente cuando se diagnostica de manera temprana, lo que refuerza la necesidad de una detección oportuna en las mujeres.

Además de los factores hormonales, existen otros elementos que aumentan el riesgo de cáncer de tiroides en las mujeres. La exposición a radiación en la cabeza y el cuello, especialmente durante la infancia, es uno de los factores de riesgo más reconocidos. También influyen los antecedentes familiares de cáncer de tiroides u otras enfermedades endocrinas.
La deficiencia o el exceso de yodo en la dieta puede afectar la función tiroidea y favorecer la aparición de nódulos. Asimismo, algunas enfermedades autoinmunes, como la tiroiditis de Hashimoto, se presentan con mayor frecuencia en mujeres y se asocian a un mayor riesgo de alteraciones tiroideas.
El estilo de vida también cumple un rol importante. El estrés crónico, el sedentarismo y la falta de controles médicos pueden retrasar el diagnóstico. Por ello, los especialistas recomiendan que las mujeres presten atención a síntomas como cambios en el cuello, alteraciones en la voz, dificultad para tragar o síntomas persistentes de desajuste hormonal.
EE.UU.- Un 39 % de los adultos latinos en Estados Unidos reporta haberse saltado comidas por falta de dinero, según un sondeo de Voto Latino, que revela un severo nivel de presión económica, inseguridad alimentaria y deterioro del bienestar financiero de las familias estadounidenses en general. El sondeo, realizado entre el 10 y el 19 […]
Canal 44
Modelos flexibles, marcos legales y redes institucionales impulsan la participación de nuevos perfiles en el ámbito académico
Infobae
La reconstrucción del hecho identificó el punto de origen en la ladera del Cerro Pirque, donde se utilizó un líquido inflamable para iniciar el fuego en condiciones meteorológicas adversas
Infobae
En la actualidad, los códigos QR se converten en una herramienta indispensable para compartir información de forma rápida y sencilla.
Lado.mx
La temporada navideña llega con ese momento especial en que los hogares se llenan de ilusión y los niños esperan con emoción descubrir qué hay bajo el árbol.
Lado.mx
En este mundo en digital donde cada día se crean nuevas cuentas, servicios y accesos, la gestión segura de contraseñas se ha vuelto esencial para proteger datos personales y empresariales.
Lado.mx
Redacción / Grupo Cantón La película mexicana ‘No nos moverán’ no logró entrar a la short list del Oscar 2026, dejando a México fuera de la competencia internacional Los Ángeles.- México quedó fuera de la próxima edición de los premios Oscar, luego de que su representante, “No nos moverán”, no lograra ingresar a la short [R
Quintana Roo Hoy
El Ministerio de Salud aseguró que las actuales vacunas salvaguardan a la mayoría de la población frente a la variante, tras detectarse dos casos en el país. Reforzarán vigilancia y medidas preventivas ante el avance del virus.
Infobae
Una tragedia ocurrió en un evento en vivo debido a una falla en el sistema de audio, otro de los músicos rescató a su compañero y evitó una tragedia mayor
Expreso.press
En su programa en TUDN, David Faitelson dio más detalles sobre su discusión con el Turco Mohamed tras la final del Apertura 2025
SDP Noticias
En la actualidad, los códigos QR se converten en una herramienta indispensable para compartir información de forma rápida y sencilla.
Lado.mx
De"Aaron Fox shined enough Saturday to inspire San Antonio Spurs teammate Devin Vassell to describe the star guard"s season debut simply as "Fox being
Deadspin
Devin Vassell scored 18 of his season-high 35 points in the fourth quarter and the visiting San Antonio Spurs beat the Denver Nuggets 139-136 on Frida
Deadspin
Emmanuel CampaVictor Wembanyama volvió a la duela cuando más lo necesitaban los Spurs y su sola presencia cambió el pulso del partido. Con minutos limitados por lesión, el francés impuso su impacto en ambos lados de la cancha y empujó a San Antonio a una victoria de 111-109 sobre el Thunder de Oklahoma City, y los puso en la final de la NBA C
Excelsior
Saúl Ñíguez se va sobre el Real Madrid y lo compara con el Flamengo: "El Madrid no tiene afición"" El exjugador del Atlético de Madrid, aseguró que la afición del Flamengo es más grande que la del equipo de la capital española molveraMar, 16/12/2025 - 09:37
Record
Gala de los premios The Best 2025 de la FIFA EN VIVO La FIFA revela en Doha a los ganadores de The Best, con votación récord araguilarMar, 16/12/2025 - 10:52 La temporada futbolística todavía no alcanza su tramo decisivo, pero el c
Record
Conoce el pronóstico del clima para la ciudad de Monterrey
El Informador
Conoce el pronóstico del clima para la ciudad de Monterrey
El Informador
Conoce todos los detalles de temperatura, lluvia y calidad del aire en Monterrey para hoy.
El Imparcial
Últimas noticias
Descubre el mejor editor de PDF en la nube para profesionales independientes
Reafirma Gobernador diálogo y legalidad con transportistas de Los Cabos
Los trabajadores de la Línea B del subte realizarán hoy una medida de fuerza
Llega al terror la narco-guerra CJNG vs CDS en Ensenada
Galindo entrega rehabilitación en colonia El Rosedal
Ecuador anuncia aranceles para las importaciones de México
Van 50 fosas y 72 restos óseos hallados en Casas Grandes
En Vivo | Joaquín López-Dóriga en Radio Fórmula
Trump recibe reclamos del comercio, la manufactura y otras industrias poderosas de EU
Sheinbaum anuncia que los aranceles impuestos por Trump a México se pausarán durante un mes
#EnVivo #NoticiasALasDos ¬ Trump: Gran conversación con Sheinbaum ¬ Ecuador pone aranceles a México
¿Vale la pena invertir en CETES? | MLDA
Se incendia el ala de un avión #nmas #shorts #avion #eua
Marcelo Ebrard felicita a Sheinbaum por lograr pausar un mes los aranceles a México
Las lágrimas de Neymar lo dicen todo (via: @santosfc/IG) #shorts | ESPN Deportes