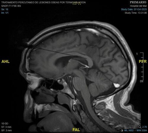
Nuevo hito de la medicina española. El Hospital del Mar de Barcelona ha realizado con éxito la primera neurocirugía a un paciente de epilepsia utilizando una tecnología láser pionera. Se trata de una intervención pionera en España considerada “mínimamente invasiva”, pero con el potencial para reducir la gravedad y la frecuencia de las crisis epilépticas.
La intervención ha consistido en quemar parte del cuerpo calloso del cerebro para limitar la comunicación entre las fibras nerviosas que conectan ambos hemisferios. La callosotomía, como se denomina este procedimiento, se ha realizado tradicionalmente mediante un abordaje quirúrgico abierto, por lo que la intervención con láser evita que el cirujano lleve a cabo un corte grande en la piel para tener acceso directo al cerebro.
El paciente, que pasó por quirófano el pasado 7 de octubre, presentaba un tipo de epilepsia resistente al tratamiento farmacológico convencional. Al mismo tiempo, no podía ser intervenido de cirugía curativa. Tras un proceso de planificación con imágenes 3D junto al equipo de la Unidad de Epilepsia, encabezado por el Dr. Rodrigo Rocamora, se seleccionó el área del cuerpo calloso del cerebro a tratar para interrumpir la comunicación entre los dos hemisferios cerebrales. El equipo liderado por el Dr. Carlo Marras, jefe del Servicio de Neurocirugía, junto a la Dra. Nazaret Infante, médica adjunta del mismo servicio.

Según explica el hospital en un comunicado, para la realización de esta técnica "se colocan de dos a tres sondas láser a través de accesos milimétricos en el cráneo que servirán, con monitorización constante de imágenes de resonancia magnética, para realizar la intervención y obtener el resultado esperado". Así, gracias las altas temperaturas que consigue alcanzar el láser y con ayuda de un sistema robótico, se actúa sobre la zona concreta del cuerpo calloso seleccionada sin afectar las zonas del cerebro circundantes.
“Se trata de un tipo de cirugía más segura para el paciente, que recibe el alta en dos días, mientras que el abordaje habitual alarga la estancia en el hospital durante más de una semana”, añade el doctor Rodrigo Rocamora, jefe del Servicio de Neurocirugía y del Programa de Epilepsia del Hospital del Mar. Esta intervención está indicada para “aquellos pacientes que tienen caídas muy frecuentes y que ponen en riesgo su seguridad”, en tanto que se busca mejorar su calidad de vida.

La epilepsia es un trastorno neurológico crónico caracterizado por convulsiones reiteradas y no provocadas. Estas convulsiones son episodios breves de movimiento involuntario que pueden involucrar una parte del cuerpo (convulsiones focales) o su totalidad (convulsiones generalizadas) y que, a veces, van acompañadas de pérdida de conciencia y control de la función corporal.
Según los datos que ofrece la Sociedad Española de Neurología (SEN), 500.000 españoles padecen epilepsia en España, de los cuales unos 100.000 son niños. Además, cada año se diagnostican 200.000 nuevos casos, principalmente en niños y mayores de 65 años. Siguiendo a la Organización Mundial de la Salud (OMS), son 50 millones las personas que sufren de epilepsia en todo el mundo.
*Con información de EFE
Pakistán y China han presentado una propuesta conjunta de cinco puntos para la paz en Oriente Medio, después de que el ministro de Asuntos Exteriores paquistaní viajara a Pekín el martes para recabar el apoyo chino a los titubeantes esfuerzos del país por negociar el fin de la guerra.
Vanguardia.com.mx
Se entregaron 160 constancias a elementos de la SSCyPC. El Gobierno Municipal fortalece la capacitación y operatividad policial. Cuautlancingo, Pue.- El Gobierno Municipal de Cuautlancingo entregó 160 constancias emitidas por la Universidad de las Ciencias Policiales y de la Seguridad del Estado de Puebla (UCIPS) a personal operativo de la Secret
Paralelo19.tv
De acuerdo con el Índice de Competitividad Estatal (ICE), en su edición 2025, elaborado por el Instituto Mexicano para laLa entrada Logra BCS segundo lugar nacional en el índice de competitividad aparece primero en NBCS Noticias.
NBCS.mx
El Servicio de Administración Tributaria (SAT), la principal autoridad tributaria de México, obtuvo facultades para supervisar en tiempo real las operaciones de casinos, tragamonedas, sorteos y apuestas deportivas.
Lado.mx
El interés por las criptomonedas no ha dejado de crecer en los últimos años. Cada vez más personas buscan formas de participar en este mercado, ya sea como una alternativa de inversión o como una forma de diversificar sus ingresos.
Lado.mx
Las cadenas comerciales enfrentan un desafío constante: garantizar que cada sucursal pueda procesar pagos sin interrupciones, sin importar las condiciones. Una caída de internet, una terminal dañada o un pico de demanda inesperado pueden paralizar las ventas en minutos.
Lado.mx
El regreso más elegante de la moda
Glamour México
Prepárate para el Paro Nacional de transportistas y agricultores este 6 de abril de 2026. Conoce los horarios de los bloqueos, carreteras afectadas y demandas
Debate.com.mx
El color morado en Semana Santa simboliza penitencia, reflexión y preparación espiritual dentro de la tradición de la Iglesia católica.La entrada El significado del color morado en Semana Santa y su simbolismo en la tradición católica se publicó primero en Amexi.
Amexi
Acompañamos a Nissan en una ruta exclusiva por Ensenada para conocer a fondo el nuevo Versa 2026. Como único medio de Aguascalientes presente, no solo evaluamos tecnología y diseño, sino el corazón industrial de nuestra gente. Ver este gigante de las ventas rodar con soltura por los paisajes de Baja California es, en esencia, ser […]
Heraldo de Aguascalientes
H. Ciudad de Chihuahua, Chih., a 31 de marzo de 2026.- El alcalde de Chihuahua, Marco Bonilla, se reunió con atletas y entrenadores beneficiarios de “Meta Olímpica CUU”, para reconocer su esfuerzo y ser parte de esta iniciativa del Gobierno Municipal que busca darles seguimiento para que puedan llegar a los Juegos Olímpicos Los Ángeles [
Entrelineas
Ciudad de México. La inversión productiva de México cayó 44.9 por ciento en el primer bimestre de 2026, el mayor descenso desde que hay registro, un área de la economía para la que la presidenta Claudia Sheinbaum Pardo presentó un Plan de Infraestructura, que busca impulsar proyectos de la mano del sector y financiamiento privados. En [
Entrelineas
Los jugadores han elegido a los mejores onces del 2024, y dos clubes españoles tienen importante presencia en estos equipos ideales.Tal y como se había anunciado, Electronic Arts ha revelado los jugadores del Equipo del Año (TOTY) masculino y femenino de EA Sports FC 25 por votación de los jugadores. La desarrolladora destaca que es uno de los
Vandal
La ciudad de París fue el escenario de la ceremonia del Balón de Oro 2025, realizada en el Théâtre du Châtelet, donde se reconoció a los futbolistas y entrenadores más destacados de la temporada 2024/25. La gala, organizada por France Football, reunió a las principales figuras del fútbol mundial y entregó premios en distintas categorías.
Vanguardia.com.mx
PIEtiempo completo AETDespués de la prórroga VIVIENDOEste es un partido en vivo. hora del estetiempo extra HTMedio tiempo Chelsea Femenino vs Arsenal Femenino. Campeonato Barclays de Fútbol Femenino. 12:30 sábado 24 de enero de 2026. Puente de Stamford. Fuente
Mas Cipolleti
Un estudio del portal inmobiliario Fotocasa nos cuenta las ciudades en las que más creadores de contenido y jugadores viven en España.Hoy día hay muchas personas que han decidido convertirse en creadores de contenido o streamers que han llegado para protagonizar un nuevo papel dentro de la industria de la comunicación y de los videojuegos con s
Vandal
MLB: Estos son los juegos que se han disputado en México Las Grandes Ligas demostraron no ser ajenas al territorio azteca amartinezSáb, 13/12/2025 - 23:02 Luego de que la MLB hizo oficial la llegada del juego entre los Padres de San
Record
José Luis Urquidy firma con Diamondbacks y busca regresar a Grandes Ligas en 2026 El lanzador sinaloense se unirá a Arizona desde los entrenamientos primaverales tras destacar en la LMP aspindolaLun, 15/12/2025 - 15:59 El derecho mex
Record
Alex Bregman firma contrato millonario con los Chicago Cubs El exjugador de los Red Sox firmó por cinco años y 175 millones de dólares rtrujillo25Dom, 11/01/2026 - 23:11 El antesalista estelar Alex Bregman llegó a un acuerdo contra
Record
Últimas noticias
Según Ranking Mitofsky Bedolla Es El Gobernador Con +Crecimiento De Aprobación
Las sandalias brasileñas ideales para llevar con jeans, faldas y pantalones en primavera 2026
SECVER impulsa el aprendizaje del son huasteco con Encuentro regional de jóvenes músicos
Con eventos y playas limpias, Tuxpan recibe a visitantes en Semana Santa
Empresarias se reúnen con el gobernador Armenta
Todas las ediciones de The Expanse: Osiris Reborn. Cuáles dan acceso a la beta cerrada, qué trae cada una, y precios
Este miércoles la humanidad regresa a la Luna: NASA alista el histórico lanzamiento de Artemis II
Lanzan en Salamanca la Feria del Autismo 2026: «La Educación que Incluye»
Ventas «frías» en el Tianguis de los Miércoles: Vacaciones no cumplen expectativas de comerciantes
COPLADEP aprobó programas y proyectos de seguridad, justicia, bienestar y riqueza comunitaria
Víctor pasará 14 años en prisión por abusar de una menor
Arteaga espera a más de 85 mil visitantes y una derrama de 50 mdp en Semana Santa
Claudia Sheinbaum anuncia medidas para contener el costo de los combustibles
Italia fuera del Mundial 2026: Crónica de una crisis histórica y reacciones de la prensa italiana
Alista ayuntamiento vialidades del Centro Histórico previo a la Procesión de Viernes Santo